A 73 y/o Caucasian female presented with abdominal pain for 2 years, gradually worsening in the recent past. The pain was more severe at night, especially while sleeping on her abdomen. An A/P CT scan showed a mid-abdominal mesenteric mass measuring 8 x 4 cm, which was new since prior examinations. The new mass was accompanied by prominent retro-peritoneal lymph nodes, the largest along the left paraaortic region measuring 1.9 x 1.6 cm. She reported good appetite and denied fever, chills, night sweats or unexplained weight loss. She admitted to a 6-month history of diarrhea consisting of 2-3 loose stools daily. Her clinical presentation was felt to be concerning for Carcinoid tumor.
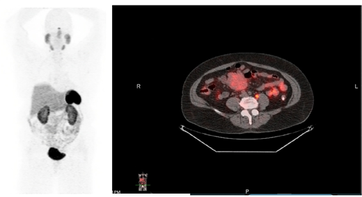
A GA-68 dotatate PET/CT showed uptake within the known mesenteric mass, most likely representing carcinoid tumor. Minimal uptake observed in retroperitoneal lymph nodes felt to represent early metastatic disease.
The patient underwent laparotomy, small bowel resection and retroperitoneal lymph node resection.
Pertinent laboratory studies -
Chromogranin level, pre op - 625 (ref 25 - 140)
Chromogranin level post op - 54
Pathology showed grade 2, follicular lymphoma. The neoplastic cells predominantly composed of small, irregular cleaved centrocytes mixed with a minor population of centroblasts (less than 15 per high-power field). Neoplastic follicles were diffusely positive for CD20, PAX5, CD10, BCL6, and BCL2. Ki67 showed 10-20% proliferation index. Cyclin D1 was negative. Flow cytometry identified monoclonal B-cell population positive for CD10, CD19 (dim), and CD20, which expressed dim monotypic lambda light chain. CD5 negative.
Discussion: There is evidence that lymphoma cells express somatostatin receptors (SSTR). Octreotide scan (111In-pentetreotide - binds to SSTR2 and SSTR5) uptake has been described in lymphomas with variable degree of avidity. Gallium Dotatate scan (68Ga-Dotatate - binds selectively to SSTR2) uptake has been previously described in a patient with large cell lymphoma. Here we describe a case of follicular lymphoma presenting with symptoms suggestive of carcinoid that showed uptake on Gallium Dotatae scan. This finding therefore warrants recognition by clinicians for potential of lymphoma presenting with positive Gallium Dotatate scan.
Ruuska et al* have shown that 62% of various PET positive lymphomas (DLBCL, follicular and Hodgkin's) were also 68Ga-DOTONAC PET/CT positive and there was concordance between SSTR2 positivity by IHC and 68Ga-DOTONAC PET/CT. If this finding is confirmed in further studies, perhaps this may lead to a possible therapeutic application for 177Lu-DOTA-TATE in management of some refractory lymphomas.
*Tina Ruuska et al, Acta Oncologica, 2018, vol 57, no. 2. 283-289
No relevant conflicts of interest to declare.
Author notes
Asterisk with author names denotes non-ASH members.
